歯を白くする方法は
歯が変色した原因により様々です。
当院では複数の
ホワイトニングメニューを用意し、
あなたの理想とする歯の白さを
プロデュースいたします。
歯を白くする方法は
歯が変色した原因により様々です。
当院では複数の
ホワイトニングメニューを用意し、
あなたの理想とする歯の白さを
プロデュースいたします。
当院では歯を白くするホワイトニング以外にも、歯肉を綺麗なピンク色に戻す「ガムピーリング」、歯の白さだけでなく形も整えたい方のための「セラミック治療」なども行っています。それぞれご紹介いたします。
歯科医院でホワイトニング用のマウスピースを作製し、それにホワイトニング剤を入れ、ご自宅で行うホワイトニングです。

診療、歯の色を確認
専用マウスピース(薬品を入れるための装着具)を制作

歯のクリーニング
自宅での使用方法の説明

自宅にて、マウスピースを用いてホワイトニング
オフィス・デュアルホワイトニングと比べ、白くなるまでに時間がかかり、白さの度合も若干落ちてしまいますが、白さの持続期間がオフィスホワイトニングと比べ長いのが特徴です。



当医院ではウルトラデント社 (米国) の「オパールエッセンス」というホームホワイトニング治療をご紹介させていただいています。
オパールエッセンスは他社のホームホワイトニングシステムと較べ、薬剤ジェルがマウスピースから漏れにくく、使用中のお口の中の不快感が非常に少ないことが最大の特徴です。
また、歯にとても優しい成分を使用していますので、治療中の知覚過敏を起こしにくいという特徴も併せ持ちます。
当院で実施したホワイトニング症例をご紹介します。


38,500円(税込)。
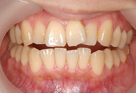
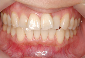
ホームホワイトニングで歯を白くしたケース。
治療中、痛みが生じるリスクがあります。
1.当医院にて歯石の除去等を行ない、お口の中をキレイに清掃します。
ホワイトニングは、虫歯や歯周病のない状態で行う治療です。
大きな虫歯があった場合は、ホワイトニングの薬液によって、痛みが誘発されて治療できません。歯周病があった場合は、歯茎からの出血により、血液が混じって薬液の効果が出ません。そのため1回目は口腔内診査(歯石除去&PMTC)及びカウンセリングや食事制限の説明をいたします。これにより本来の歯の色に戻ります。
2.歯型を採り、患者様の歯並びに合ったマウスピースを作ります。
3.そのマウスピースを一度合わせてみて、薬剤の使い方や1日の使用時間などの説明を受けて帰宅します。
4.変色の程度にもよりますが、1日1.5時間以内で、約2週間続けます。
5.1週間に1度来院していただき、歯の状況やマウスピースが変型していないか定期的にチェックしてゆきます。
光に反応するホワイトニング剤を歯に塗り、歯科医院にて施術を行います。
治療前の歯の色をチェック
歯のクリーニング、歯垢、歯石、着色の除去
白くしたい部分に薬剤を塗り、光を当てる
ホームホワイトニングと比べ、白さの度合いが高く、かつ短期間で理想の白さが手に入りますが、白さの持続期間は短いのが特徴です。



オフィスホワイトニングは「オパールエッセンスBOOST」を採用しております。
その大きな特徴は約1時間の施術でスピーディに結果を得られることです(個人差あり)。また白さにムラがないこと、知覚過敏になりにくいこと、歯質を強化できること等のメリットもあります。


22,000円(税込)。
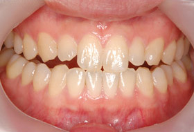
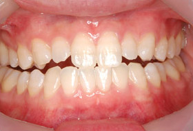
オフィスホワイトニングで歯を白くした事例。
治療中、痛みが生じるリスクがあります。
1.当医院にて歯石の除去等を行ない、お口の中をキレイに清掃します。
2.歯を白くする薬剤を塗り、特殊な光を照射し、薬剤を除去します。
この流れを2~3回繰り返します。

3.歯の色を確認 (シェードチェック) して終了です。
デュアルホワイトニングとは、「オフィスホワイトニング」の後、「ホームホワイトニング」をすることで、オフィスホワイトニングメリット (短期間で白くなる、白さの度合いが高い) と、ホームホワイトニングのメリット (白さの持続期間が長い) を利用できるホワイトニング手法です。


ホワイトニングを行うとどのくらい白くなりますか?
個人差はありますが、1回で4段階ほど白くなるといわれています。

すぐにホワイトニング治療はできますか?
大きな虫歯があったり、歯茎が腫れていますと、ホワイトニング治療は出来ません。
大きな虫歯がある場合は治療中の痛みの原因になります。
歯茎が腫れている場合は薬液に血液が混じり、十分な効果が出ません。
このような症状が見受けられる場合は、改善処置を行ってからのホワイトニングとなります。
歯の黄ばみの原因は?
下記のような様々な原因があります。
①日常の飲食による黄ばみ(一番多い)
コーヒー、紅茶、カレー、しょうゆ、赤ワイン、ケチャップなど色素の濃いものを長年摂取することで、次第に黄ばんできます。
②加齢による黄ばみ
年齢とともにエナメル質が薄くなり透過性が高くなります。
そうするとエナメル質の下にある象牙質の色が目立ってきますし、象牙質自体も加齢とともに色が濃くなっていきます。
象牙質はもともと「黄色」に近い色をしているので、歯が黄色く見えてしまうことになります。
③全身疾患に由来する変色
胎児の時に、母親が服用した抗生物質(テトラサイクリンが有名)や過剰に摂取したフッ素などの影響。
④遺伝による黄ばみ
髪の毛や肌の色が人それぞれ異なるように、遺伝的に黄色っぽい歯の方がいます。
当院では、患者様が抱えていらっしゃるお口のお悩みや疑問・不安などにお応えする機会を設けております。どんなことでも構いませんので、私たちにお話ししていただけたらと思います。ご興味がある方は下記からお問い合わせください。
