経験と勘だけではなく、
マイクロスコープを利用し、
しっかり「目で確認」して治療する
精密根管治療
もちろんラバーダム防湿も
行っております。
1回1時間 11,000円(税込)
※感染根管の場合も同様
経験と勘だけではなく、
マイクロスコープを利用し、
しっかり「目で確認」して治療する
精密根管治療
もちろんラバーダム防湿も
行っております。
1回1時間 11,000円(税込)
※感染根管の場合も同様
三鷹駅前デンタルオフィスでは、先端技術を利用した「根管治療 (根っこの治療・神経の治療)」を実施しております。
虫歯が進行すると、歯の神経(歯髄)まで達します。
こうなってしまうと虫歯菌が感染した神経を取り除き、根管(神経が入っている管)を綺麗に清掃してから被せ物をする治療を行います。
一見簡単な処置のように思えますが、「根管を綺麗に清掃する作業」は非常に困難を極めます。
なぜなら、根管は非常に複雑に入り組んでおり、完璧に清掃を行わなければ、「痛み」「腫れ」などの原因となり、「根尖病巣」という病気にもなるためです。
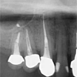
下の画像ですが、「黒い部分」が神経の入っている管であり、このすべてを綺麗に清掃する必要があります。

従来までは、「肉眼」でこの治療をしていました。
少し考えればわかると思いますが、「肉眼」ではこの細かい部分をすべて確認しながら完璧に作業することは不可能です。
つまり、従来法の根管治療とは「勘」や「経験」に頼った治療で、時には再治療そして「抜歯」の選択を迫られることも多々ありました。
しかし、マイクロスコープ (歯科用顕微鏡) を利用することで、今まで見えなかったものが見えるようになり、しっかり目で確認しながらの治療が可能になりました。
マイクロスコープ (歯科用顕微鏡) を含め、当院で実施している根管治療の特徴をご紹介いたします。
マイクロスコープ(歯科用顕微鏡)とは、その名の通り、治療部位を拡大する機器です。
根管治療においては、どれだけしっかりと問題部位を確認できるかが成否を分けますので、成功率を上げるためには絶対に欠かすことのができない機材です。

下の画像が「肉眼」で見た状態と、「マイクロスコープ」で見た状態の視野になります。
どちらの方が精度の高い治療ができるかは一目瞭然ですね。
当院でマイクロスコープを導入することにより、「抜歯」という最悪のシナリオを避けられる可能性が飛躍的に高まりました。


当院で処置した症例をご紹介します。
他院で抜歯と言われてしまった歯でも抜歯せずに対処した症例も多数あります。
黒い影が出ている部分が問題の個所で(根尖病巣)、治療後はこの影がなくなっているのが見て取れると思います。


根尖病巣の治療ケース。2,640円(税込)。
低い可能性ではありますが、再発のリスクがあります。
ラバーダム防湿とは、治療する歯以外を薄いゴム製シートで覆いかぶせて口腔内の唾液や細菌による治療部位への感染を防止する道具です。
ラバーダムを使用することで、様々な口腔内細菌が根管に侵入するのを防ぎ、無菌的な処置を行うことが可能になります。逆を言えば、ラバーダム防湿を行わない根管治療は細菌感染の可能性が高まり、再治療の原因ともなります。
つまり、ラバーダム防湿は、根管治療を成功させるためには必須のものと言えます。根管治療でラバーダム防湿を行うことは欧米では必須の処置となりますが、日本で実施している医院は全国でも数%しかないと言われています。実施している医院さんが少ないのが現状なのです。当院で行う根管治療はラバーダム防湿をしっかり実施しておりますので安心していただけたらと思います。


根管治療にはファイルという専門の道具を利用します。
従来までは一度利用したものを滅菌し、他の患者様に利用することが多くありました。
しかし、当院ではWAVE ONEシステムを導入していますので、滅菌包装されたファイルを1人の患者様に1本利用します。
もちろん使い回しはしませんのでこれが原因での感染はありえません。
その都度、使い捨てになります。
その他、WAVE ONEシステムと従来法との違いをご紹介いたします。

側方加圧根管充填法

垂直加圧根管充填法
神経の管の中にある細菌を綺麗に取り除いた後は、根管の先に薬を充填していきます。
このとき、薬を充填する方法には、大きく分けて2つの方法があります。
「側方加圧方式」と「垂直加圧方式」です。
側方加圧方式ですと「個体」の状態で薬を詰めていきますので、どうしても根管内に「隙間」が生じやすくなり、その部分から再感染の可能性が高まります。
垂直加圧方式ですと「半固体」の状態で薬を詰め、また、垂直に薬を詰めていきますので、「隙間」が生じにくく、再感染リスクを低くすることができますので、当院では「垂直加圧方式」を採用しています。
当院では、患者様が抱えていらっしゃるお口のお悩みや疑問・不安などにお応えする機会を設けております。どんなことでも構いませんので、私たちにお話ししていただけたらと思います。ご興味がある方は下記からお問い合わせください。
