
当院は第三者保証機関
「あんしんインプラント」に
認定された医院です。
厳格審査を通過して初めて認定されます。
東京で認定されている医院は
12医院(2023年4月現在)しかありません。
認定医は「八王子」と「吉祥寺」に
在籍しておりますので、
安心・確実にインプラントを行いたい方、
八王子医院、吉祥寺医院へ
お問い合わせください。
「自分の歯が一番」
これが私の考えです。
そして歯科医学的にも正しい答えになります。
私は、ご自身の歯を可能な限り残す治療を、この業界に入ってからずっと追求してきました。
しかし、残念ながら患者様から次のようなことを言われてしまう事があります。
「何度も治療に来るのが面倒なので、その歯を抜いてください」
「歯がなくなっても入れ歯とかインプラントがあるから問題ないですよね」
このようにお話しいただく患者様の気持ちは十分に理解できます。
しかし、ご自身の歯を超える治療法は存在しません。
これは「自分の歯のように噛みやすい」と言われているインプラントであっても同様です。
そのため、どうしても抜かなければならないケースを除いては、ご自身の歯を残す方向で治療法をご提案させていただいております。
しかし、その歯を残すことで、その他の健康な歯に悪影響を及ぼしてしまう場合は、躊躇なく抜歯のご提案をさせていただきます。
日本でインプラントが普及する前までは、歯を失った場合、「入れ歯」や「ブリッジ」という治療法で対応していました。
私もインプラント治療と出会うまでは、これらの治療を皆様にご提案していました。
しかし、これらの治療を適切なものとしてご提案していたわけではありません。
なぜならば、入れ歯・ブリッジ治療は健康な歯を支えにして安定させる治療ですので、どうしても支えとなっている歯に負担がかかり、次第にぐらつき、最終的には抜歯せざるえなくなります。
そして、今度は他の健康な歯を支えとします。
これを繰り返すと、支えとする歯がなくなり、総入れ歯になってしまうのが以前までの歯科治療でした。
「歯を守る職業」なのに、「歯を失わせる手伝いをしてしまっている……」。
常に「申し訳ない……」という思いで日々診療していました。
これが当時の正直な私の心境です。
常に理想と現実のギャップに悩みながら治療していました。
しかし、インプラント治療に出会ってからはその葛藤がなくなりました。
外科を伴うので、インプラントは特別な治療法と患者様には認識されることが多いのですが、「入れ歯」「ブリッジ」と同じ、歯を失った際の選択肢の1つにすぎません。
しかし、その他の治療と決定的に違うことが1つあります。
それは、残っている他の歯に負担を掛けないこと。
つまり、インプラントを選択することで、その他の健康な歯の崩壊を止めることが出来るのです。
インプラントというと「見た目が良く、自分の歯のようにしっかり噛みやすい」という事ばかりが目を引きます。
これも非常に重要なことです。
しかし、私が皆様にお伝えしたいことは、入れ歯でなく、ブリッジでもなく、インプラントを選択していただくことで、5年後、10年後の残っている歯の本数が異なるという事実です。
この治療方法が発明されたことで、私が本当に患者様に提供したかった「歯を守る治療」ができるようになりました。

これがインプラントを学び始め、そして今では歯を失った際の選択肢の1つとしてインプラントをご提案している理由です。
治療を終え、お口の中が健康になり、「治療」ではなく、お口の健康維持のための「メンテナンス」に通っていただく。
そして、世間話をしながら笑顔で帰っていただききたいです。
これが私たちの目指す歯科医院です。

そのためには、まず、お口の問題を改善する必要があります。
当院では専門家の立場から、どの治療法が適切なのかをアドバイスさせていただきます。
ただ、どの治療法にするかの最終的な判断は患者様ご自身にしていただきたいのです。
なぜならば、「判断する」という事は、その治療法の特徴やメリット・デメリットなどをしっかり理解する必要があります。
理解をすることで、治療後、どのようにすれば健康な状態を長く維持できるのかをご自身で考え行動できるようになります。
このプロセスを経ないと、どの治療法であっても長持ちさせる事はできません。
どの治療法であっても患者様ご自身の自己管理がとても大事だからです。
最後になりますが、治療をお考えになっている方にメッセージがあります。
私たちは、「もう一度、しっかり噛みやすい歯を取り戻したい」と強く望まれている方と共に歩んでいきたいと思っています。
そして、当院で治療を実施するということは、患者様が私たちを信頼してくれたという事です。
その期待を決して裏切ることはできません。
どんなことがあろうと、成功するまでサポートさせていただきます。
そして治療後も、「残っている健康なご自身の歯を守っていく」という強い想いで末永くお付き合いさせていただきます。
お口の健康を通して、皆様が毎日笑顔で生活できるお手伝いをすること。
これが私たち歯科医療従事者の「使命」であり「やりがい」です。

「診断やCT撮影とはどのようなことをするのですか?」と思われる方もいらっしゃるかと思いますので、ご紹介させていただきます。
CTとは、立体的(三次元)に骨の状態や神経の位置を把握できる特殊な撮影装置です。
従来のレントゲンでは見えなかった事、分からなかった事も、歯科用CTなら明らかにすることができ、正確な診査と診断につながり、安全性と治療のクオリティーを高めることが可能になりました。
CTで取得したデータ以外にも、既往歴の聞き取り・血圧・感染症などの全身健康状態のデータをもとに、「インプラントができるのかできないのか」「リスクはあるのか否か」「インプラント以外の方法が適切か否か」などをしっかりとご説明させていただきます。
当院では「セカンドオピニオン」を積極的に行っております。
ある症例を100人の医師が診断したとします。
その結果、治療内容はどうなると思いますか?
患者様は「1つの答え」に落ち着くと思うかもしれませんが、実際は何パターンもの治療法が提示されることになります。
これは歯科医師の考え方・流派が存在するためです。
まずはこの事実を理解して下さい。
「この症状であれば、この治療しか存在しない」という事はまずありません。
こうなってしまうと、「どの治療が適切なの?」と不安に感じてしまうと思います。
しかし、どの治療法にも必ずメリット・デメリットが存在しますので、どの治療法が良いのかは患者様自身の「価値観」に左右されることとなります。
治療法の選択に悩んだ場合、患者様ができることは、それぞれの治療法のメリット・デメリットを理解し、御自身の価値観に合った治療法を選択することです。
しかし、1人の歯科医師の話だけでは、先ほども申したようにその歯科医師の考え・流派によって提案する治療法が異なります。
そこで「セカンドオピニオン」が登場します。
複数の医師の提案する治療法を聞き、その中で患者様の価値観に合った治療法を選択してください。

また、セカンドオピニオンは単に複数の医師の「考え」を聞くだけではありません。
その医師の「人柄」なども直接に感じることができます。
「この先生になら任せても大丈夫だ」「この先生が提案する治療法なら……」といった感情も生まれてくるでしょう。
歯科医療は「人と人」が信頼関係に基づいて行う治療です。
「この先生になら!」と思える歯科医師を見つけるためにセカンドオピニオンを利用するのも1つかもしれません。

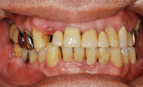
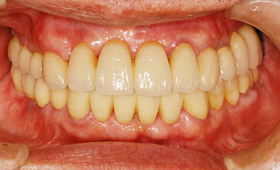
インプラントには様々な術式があります。
その日のうちに歯が入る術式、オペの回数を1回で終わらせる術式、顎の骨を造成する術式など。
術式によってはエビデンス(科学的根拠)が確立されていないものもありますが、当院では、科学的根拠が確立されている術式のみ実施し、かつ、「身体への負担が極力少なくなる術式」を採用しています。
身体に優しい術式の一例として、いくつかの術式をご紹介します。
顎の骨が少ない場合、従来であれば骨移植や骨造成が必要とされていました。
この方法ですと、大きな外科処置が必要となりますので、経済的負担の他、身体的負担が大きくなり(腫れ・痛み)、手術後、その骨が生着するまで半年程度待機しなくてはならず治療期間の長期化の原因ともなっていました。
しかし、同じ骨が少ない状態であっても、適切な術式を選択することで経済的、身体的に優しい治療を行うことが可能になっています。
例えば、短いインプラント(ショートインプラント)を使う方法、骨のある部分に傾斜させて埋入する方法などの術式です。
これにより、経済的・身体的負担(痛みや腫れ)を軽減させ、治療期間の短縮ができるようになりました。

ショートインプラント

傾斜埋入
もちろん、骨の状態によっては骨移植等が必要になることもありますが、当院では第一選択肢として「体に優しい術式」を患者様にご提案しております。






上記画像は、
ショートインプラント、傾斜埋入の症例です。
最近では研究も進み、インプラントを埋入するだけであればどの歯科医院でも簡単に行えるようになってまいりました。
しかし、長期にわたりインプラントを機能させ続けるという点においては、まだまだどの医院でも対応できるものではありません。
なぜなら、治療技術はもちろんのこと、定期メンテナンス、衛生管理、設備投資などが必要となるためです。
当院では、インプラント治療を安全で、確かなものにし、そして可能な限り長く持たせていくための設備を整えております。
インプラント事故がクローズアップされている現代だからこそ、当院で安全なインプラント治療を受けられてみてはいかがでしょうか。
全世界のドクターから信頼されているノーベルバイオケア社、ストローマン社、アストラテック社のインプラントを利用。
1人のドクターだけでなく複数のドクターによる診査診断を実施し治療精度を高めます。
当然のことですが、使用する材料・機材等はすべて滅菌消毒し、使い捨てできるものはすべて使い捨てをしております。
インプラント体は10年、上部構造は5年の保証を行っておりますので安心です。
治療後、インプラントを長持ちさせるために大切なことは「術後のメンテナンス」です。
特に、インプラント周囲炎という病気に注意を払わなければなりません。
インプラント周囲炎は、歯周病と同じく、歯周病原性細菌によって起こる病気です。
つまり、インプラント周囲炎を予防するためには、歯周病治療が前提となります。
もし、治療しないで放置しておくと、周りの骨がなくなり、最終的にはインプラントが抜け落ちてしまいます。
症状は歯周病と類似していますが、見た目の炎症や腫れがあまりないにもかかわらず、病気の進行速度が天然歯に比べ10~20倍と非常に速いことが特徴です。

当院ではスウェーデン方式のメンテナンスシステムを導入しております。
詳細は歯のメンテナンスをご参照いただきたいのですが、「科学的に効果が実証されたプログラム」です。
具体的には、唾液検査や口腔内検査等により、歯質の状態、歯周病・虫歯へのなりやすさなどのデータを取得し、PMTC (専門の機器を用いたプロによるクリーニング) やTBI (ブラッシング指導) 、生活習慣改善を併用した患者様独自のオーダーメイドのメンテナンスプログラムを構築していきます。

これからは、治療後のメンテナンス (特にインプラント周囲炎) にどれだけ力を入れている医院なのかを、事前に見極めることが大切となります。
インプラントは、「安全に埋入して、しっかり噛みやすくなる治療」ではなく、「安全に埋入して、しっかり噛みやすくなり、天然歯と変わらない審美性を回復させる治療」でなければなりません。
上記目標を達成させるために当院で行っていることをご紹介いたします。
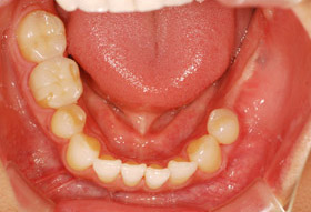
審美性というと「歯の形態・色」にのみ目がいきがちですが、口元の美しさは「歯」だけでなく「歯肉・骨の状態」も大切になります。
特にインプラントをされる方は、歯周病や長期間の入れ歯利用で、歯肉や骨が退縮していることが多いため、そちらのほうも総合的に考えながら治療を進めなければ、天然歯と見分けがつきにくいインプラント治療はできません。
当院ではインプラント治療と並行し、歯肉形成外科や、骨造成法を活用し、総合的な口元の美を追求しています。

上記画像は、
歯内形成外科、骨造成法を用いた症例です。
当院では、患者様が抱えていらっしゃるお口のお悩みや疑問・不安などにお応えする機会を設けております。どんなことでも構いませんので、私たちにお話ししていただけたらと思います。ご興味がある方は下記からお問い合わせください。
