歯周病専門医/認定歯科衛生士が在籍
スウェーデン方式の
科学的根拠に基づいた歯周病治療。
一本でも多くの歯を残す
治療を実現させています。
スウェーデン方式の
科学的根拠に基づいた歯周病治療。
一本でも多くの歯を残す
治療を実現させています。

治療を終え、お口の中が健康になり、「治療」ではなく、お口の健康維持のための「メンテナンス」に通っていただく。
そして、世間話をしながら笑顔で帰っていただく。
これが私たちの目指す歯科医院です。
そのためには、治療と共に、お口が悪くなった原因を取り除き、その原因が再発しないようにしなければなりません。
再発させないためには「健康な状態を絶対に維持し続ける」という歯科医院側の想いのこもったサポート、そして何よりも患者様ご自身がお口の健康に関して意識していただくことが重要です。
当然のことですが、歯科医院でのケアよりもご自宅でのケアの方が、多くの時間を占めますので。

これまで長年、歯科医療に携わってきましたが、お口の健康を長く維持されている患者様というのは、歯に対する意識、つまり、歯は生活をする上で非常に重要であると強く認識している方です。
歯に対する意識が高ければ、自ずとご自宅でのケアをしっかり行っています。
そして皆様、「歯科医院は健康なお口の状態をチェックする場所。普段のブラッシングでは落とせない汚れを定期的に落としに行く場所」と考えていらっしゃいます。
歯科医院は「歯を治す」ところですが、一旦治療が終了したら、「歯を守る場所」になるという考え方が大切です。
そのように理解し行動していただけたら患者様のお口の健康は安泰です。
私たちは「歯科医院は歯を守る場所」とご理解いただける患者様と共に歩みたいと思っています。そしてそのような患者様には「お口の健康を必ず維持させる」「残っている健康な歯を絶対に失わせない」という強い想いで末永くお付き合いさせていただきます。
お口の健康を通して、皆さんが毎日笑顔で生活できるお手伝いをすること。
これが私たち歯科医療従事者の「使命」であり「やりがい」です。
次節からは、当院の歯周病治療をご紹介させていただきます。
担当医は、日本歯周病学会「専門医」の資格を有しています。




日本歯周病学会専門医とは、厚生労働省が認可した歯周病治療のスペシャリストに与えられる資格です。下記の条件を満たし始めて資格を取得できます。
上記をクリアし、歯周病専門医試験(書類診査・症例発表・口頭試問)に合格してはじめて専門医資格を取得できます。また、この資格は一度取得すればいいものではなく、資格保持のためには5年ごとに、学会参加・症例発表・研修会参加等を必須とした更新が必要です。つまり,常に歯周病学の研鑽を積んでいなければ,専門医を維持する事はできません。
歯周病専門医の他、当院には認定歯科衛生士も在籍しています。
歯科衛生士にも歯科医師のように歯周病学会の認定資格があります。
次の条件を満たすことで上位資格を取得できます。
当院では歯科先進国のスウェーデンが実施している歯周病プログラム (スウェーデン方式) を取り入れています。
一言でこの処置を表現すると、「科学的に効果が実証されたプログラム」と言えます。
今や歯科医療も進歩し、「歯周病にならないためにはどうすればいいのか」「歯周病になってしまった場合どのような処置をすれば改善するのか」などが科学的に実証されており、その通り行えば、歯周病にもなりませんし、また歯周病も改善します (重度の場合はケースによります)。
スウェーデン方式は日本でも広まっていますが、その考え方を忠実に実施している医院はほとんどありません。
全体の一部だけを取り入れているのがほとんどだと思います。
具体的には、口腔内検査等により、歯周病の状態、歯質の状態、歯周病へのなりやすさなどのデータを取得し、PMTC (専門の機器を用いたプロによるクリーニング) やTBI (ブラッシング指導)、生活習慣改善を併用した患者様独自のオーダーメイドの歯周病治療プログラムを構築していきます。
ブラッシング指導

PMTC

フッ素塗布

カウンセリング

生活習慣の見直し


骨再生療法とは、溶けて減ってしまった骨を再生させ、歯が抜け落ちてしまう事を防止する治療です。
当院では、「エムドゲイン法」「GTR法」という骨再生治療を行っております。
エムドゲイン法を簡単にご説明しますと、エムドゲインゲルという薬を患部に塗ることで、本来備わっている骨の再生能力を発揮させる治療法です。

この治療法では、エムドゲインゲルという薬剤を使用するため、身体への安全性について患者様からご質問されますが、身体への悪影響はありませんのでご安心ください。
「メンブレン」という特殊な膜を活用することで骨を回復させる療法を「GTR(Guided Tissue Regeneration)法」といいます。
骨にはもともと再生能力が備わっていますが、骨よりも歯肉の再生スピードが速く、骨が再生されるはずのスペースを歯肉が覆ってしまうため、通常骨は再生されません。
しかし、メンブレンを用いることで、骨が再生されるスペースを歯肉に邪魔されることなく確保することができるため骨を再生させる事が可能となります。
個人差はありますが、おおよそ数か月後には、新しい骨が再生されます。
このように当院では骨再生療法を積極的に実施しておりますので、他院で「歯を抜かなければなりませんね」と言われた方、重度歯周病の方、どうしても歯を残したいとお考えの方、一度当院にご相談ください。
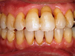
歯周病治療をすると「歯が長くなってしまう」ということを聞いたことがあると思います。
実際、歯が長くなったように見えるのですが、これは「本来の健康な状態に戻った」と言った方が正確です。
歯周病が進行すると歯茎の骨がどんどん溶かされると共に、炎症を起こして歯肉が腫れあがります。
歯茎の骨が溶かされれば、当然歯茎もどんどん下に下り歯の根が露出してきて歯が長く見えてしまうのですが、炎症により歯肉が腫れあがりますので、外からは歯が長くなった状態を確認することができません。
しかし、歯周病が改善することで歯肉の炎症が治まり、本来の歯の姿が見えてくることになります。
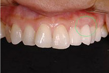
「お口の健康は取り戻せたけど、見た目はなんとかならないの?」
治療を終えた方からよくこのような相談を受けます。
当院では「歯肉移植術(FGG/CTG)」という方法で、この「見た目」改善に取り組んでいます。簡単に説明しますと、上顎の歯茎から歯肉を取ってきて、見た目が悪い部分に移植するという方法です。
上顎の奥歯の内側から移植する歯肉を採取します。
移植する箇所の歯茎を切開し、その中に採取した歯肉を入れます。
歯肉を採取するために切開した歯茎は2週間程度で回復し、移植された歯茎はおよそ1ヶ月程度で傷跡が目立ちにくくなり、周囲の歯茎と区別がつきにくい自然な状態になります。
歯肉移植術は高度な技術を要しますのでどの医院でも行っているわけではありません。
「お口の健康」と「美」を追求したい方、是非当院にご相談にいらしてください。

当院では歯科医師、そして歯科衛生士が担当制をとることにより、患者様のすべてのデータを生涯にわたり保存管理しております。
蓄積したデータや患者様との長いお付き合いの中で得た情報や変化をもとに、その患者様に適した質の高いご提案・治療をすることが可能となります。
歯磨きチェック (指導) をはじめとして、歯周病の再発を防ぐ処置、生活習慣に対するアドバイスやドライマウス、アンチエイジングなどの相談もお受けしています。
また毎回同じ担当者が治療に当たりますので、お互いにリラックスした状態で診療ができ、コミュニケーションを楽しみながらお口の健康維持につなげることができます。
他院では、患者様の歯周病治療を歯科衛生士任せにしているところもありますが、当院では幅広い知識と経験を持った歯科医師と歯科衛生士が密接に連携することで、さらなる治療効果を実現しています。
歯科衛生士とは、単なる歯科医師のアシスタントではなく、文部科学省や厚生労働省から指定された専門学校を卒業し、国家資格を持つ専門職です。
つまり、歯周病や虫歯から歯を守るための治療を行うことができるスペシャリストです。
担当する歯科衛生士は、院長・スタッフ紹介をご参照ください。

歯周病でない方でも、歯周病治療された方でも、生涯健康なお口の状態を維持させるには、ご自宅でのケアだけでは十分ではありません。
その理由をこれからお伝えいたします。
歯周病になってしまう主な原因はお口の中で悪さをする細菌です。
つまり、この「菌」を上手にコントロールできればお口の問題は起きません。
それには、悪さをする細菌が可能な限り少ない状態を保持する「コントロール」が大切になります。
細菌をコントロールするためには、ご自宅でのブラッシング以外にも「歯科医院での定期メンテナンス」の両輪が必要になります。
人間の噛み合わせは、皆様が思っている以上に変化します。
年齢によるものもありますし、座っている姿勢が悪いだけでもズレしまうこともあります。
噛み合わせが悪くなってくると、歯全体で「噛む」力を分散させることが出来ず、特定の歯に過剰な噛む力が加わることになります。
そうすると、その歯が「動揺」することで、歯と歯肉の間に溝ができ、そこに歯周病菌が入り込める環境が作られます。
生じた「溝」の部分は、何もしなければ改善しませんし、その溝に入り込んだ歯周病菌も日常のブラッシングだけでは除去することはできません。
つまり、歯周病菌が悪さをする環境が整ってしまう事になるのです。
当院の定期メンテナンスでは、噛み合わせをしっかりと確認し、ズレてしまった場合は適切な調整を施し、歯周病菌が悪さをする環境にならないようにしています。
当院では、患者様が抱えていらっしゃるお口のお悩みや疑問・不安などにお応えする機会を設けております。どんなことでも構いませんので、私たちにお話ししていただけたらと思います。ご興味がある方は下記からお問い合わせください。
