クラウン20,000本以上
の実績
インレー5,000本以上
の実績
クラウン20,000本以上
の実績
インレー5,000本以上
の実績
ナノハイブリッドコンポジットレジン治療。
皆様は、聞きなれない言葉かと思います。
それもそのはず。これは最近開発された治療法です。
この治療法の特徴を説明するには、以前までの治療法を交えながらお話しした方がわかりやすいかと思います。
以前までは、「小さな虫歯を綺麗に治療したい」、「欠けてしまった歯を綺麗に治療したい」「銀歯を白い詰め物にしたい」というご要望には、コンポジットレジン充填治療をご提案していました。
この治療法は、銀歯と比べて審美性に優れるなどのメリットがありましたが、変色してしまうというデメリットが存在していました。
しかし、ナノハイブリッドコンポジット治療が開発されたことにより、コンポジットレジン充填治療よりもはるかに審美性が向上し、変色しにくい治療が可能となりました。
また、治療も1回で終了し、歯を削る量も他の詰め物と比べ少なくて済みます。




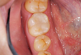
3.3万円(税込)。
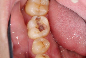
ナノハイブリッドコンポジット治療の症例です。
リスクとしては時間の経過とともに
変色する可能性があります。
この治療法が適用される範囲はある程度限定されますが、興味を持たれましたら是非ご相談ください。
審美セラミック治療は非常に繊細な技術を要しますので、ドクターと歯科技工士の腕と経験がものをいう治療となります。
患者様にとっては単に「白い詰め物・被せ物」を入れるだけではないのと思われるかもしれませんが、それは違います。
口元の美を獲得するための条件は、「いかに天然歯と見分けがつきにくい歯が作れるか」です。白い歯を作ればいいというものではありません。
その歯がお口に入った時に違和感が少なく、全体との色合い・形が調和して初めて「美」の獲得ができるのです。
「人工物」と他人に見破られてしまったら、我々の敗北です。
審美セラミック治療の成功・不成功のカギを握るのは、見えるところだけではなく、見えないところにもいかにこだわれるか。
これがポイントです。
当院が実施している「美の方程式」をこれからご紹介いたします。
下の画像をご覧ください。
あなたが求める歯はどちらですか?


第三者から見た場合、どちらの方が美しく見えると思いますか?
人それぞれ「感性」が異なりますので一概には言えませんが、多くの方が「右」の画像を選択すると思います。なぜでしょうか?
これは口元全体の色の「バランス」が関係しています。
もっと具体的にお伝えしますと、「いかに自然な口元であるかどうか」です。
審美セラミック治療では、「色」「形」が自由自在にコントロールできます。
雑誌を持ってきていただき「このモデルさんのような歯にしたい」とお伝えいただければその通りに色と形を再現することが出来ます。
しかし、皆様に1つ理解していただきたいことがあります。
それは、口元の美しさは「歯」だけでは達成できないという事を。
歯は美を作り出す1つのパーツにすぎません。
その他にも、肌の色、性別、年齢、顔貌、唇、歯茎なども関係し、これら全てが合わさることで初めて「あなたらしい」自然な美しさが生まれます。
つまり、歯以外の美の要素をまずは把握し、それに調和する歯はどのような色なのか、どのような形なのかを考えていくことが重要になるのです。
そのため、真っ白な歯よりも、少し黄ばみを入れた方が自然な美しさに仕上がることもありますし、1本だけの治療の場合、他の歯との色合いや形のバランスを取った方がいいこともあります。


26.4万円(税込)。審美セラミック治療による症例です。
過度の衝撃で割れるリスクがあります。
もちろん、最終的には患者様の理想通りにいたします。
しかし、ここでお話しした「あなたらしい自然な美しさ (自然美)」というものが存在し、それを私たちがご提案し創造することができるということをご理解いただけたらと思っております。


「拡大鏡」「マイクロスコープ」とは、視野を拡大できる装置のことです。
視野を数倍に拡大できます。審美セラミック治療では、肉眼では見えない領域に如何にこだわるかで、「歯の美しさ」「耐用年数 (どれだけ長持ちするか) 」を左右します。
当院では、拡大鏡やマイクロスコープを用いた精密審美セラミック治療を提供しております。これまでに、「せっかく自費の詰め物・被せ物を入れたのにすぐにダメになった」という方がいらっしゃいましたら、ぜひ当院にお越しください。
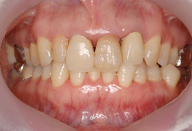
審美セラミック治療は、歯の「色」だけでなく、「形」「歯並び」の改善も可能です。
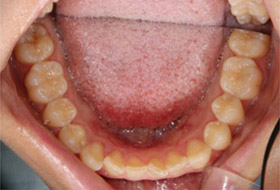
以下、当院で治療した症例をご紹介いたしますので、治療後のイメージの参考にしていただけたらと思います。
このようなご要望にはセラミック素材の「詰め物 (インレー) 」「被せ物 (クラウン) 」、そしてお手頃な値段でご提供できる「ナノハイブリッドコンポジットレジン (詳細はこちら)」をお勧めします。
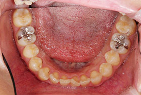
下記の画像は銀歯の詰め物 (インレー) をセラミック素材の詰め物 (インレー) に差し替えた症例です。


6.6万円(税込)。銀歯をセラミックインレーにした症例です。
過度の衝撃で割れるリスクがあります。
一口にセラミックと言っても複数の種類があります。
詳しくは料金表に記載していますので、そちらをご参照ください。
歯の隙間を改善する方法として「矯正歯科治療」をイメージされる方も多いかと思いますが、審美セラミック治療でも対応が可能です。
オールセラミック法 (セラミックの被せ物) を利用します。
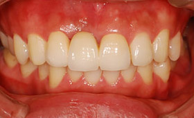
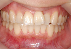
下記の画像はセラミッククラウン法で「歯の白さ」と「歯の隙間」を改善した症例です。


39.6万円(税込)。セラミッククラウンで色と形を整えたケース。過度の衝撃で割れるリスクがあります。
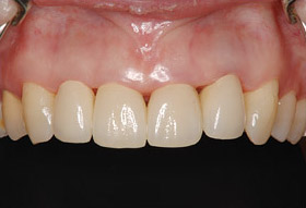
審美セラミック治療では「歯の形」も変化させることができます。
オールセラミッククラウン法 (セラミックの被せ物) を利用します。
歯の形・歯の大きさは、あなたが思っているよりもその人の個性を際立たせます。
日本人に多いタイプで、前歯の先端が直線上にある歯とない歯とが混在しています。自然な歯並びといえます。
口を小さく見せる効果もあり、若々しい印象を与えます。
白人に多いタイプの歯並びで、前歯の先端がすべて直線上にあるので、口元をくっきりと強調することができます。
日本人の女優さんに多いタイプの歯並びです。
前歯の先端はすべて直線上にありますが歯と歯に多少の重なりがあることが特徴です。
出っ歯を治したい人、女性的な印象をもっと強調したいという人に向いていると言われます。
下唇のラインと前歯のラインが平行になっているのが特徴です。
世界的に好まれる並びで、ハリウッドスマイルとも呼ばれています。
このように「歯の形」「歯の大きさ」の微妙な違いによって、その人の印象を変えてしまう事があります。
当院では、このようなことも考慮した上でのご提案・治療を行っております。
タバコ、コーヒー、お茶、ワイン、カレーなど飲食物には着色しやすいものがあります。
審美セラミック治療でも対応可能ですが、より手軽にできるものに「ホワイトニング(薬剤を使った治療)」がありますのでそちらをご紹介します。
ホワイトニングの症例


23,760円(税込)。
治療中、しみるリスクがあります。
ホワイトニングに関しての詳細は、ホワイトニングをご参照ください。
「審美セラミックとホワイトニングでは何が違うのですか?」というご質問を患者様からよく受けます。
「歯を白く綺麗にする」ことは同じなのですが、その「やり方」が異なります。
審美セラミック治療とは、詰め物・被せ物を用いて「歯の色」「歯の形」「歯並び」をより美しくするための治療です。
ホワイトニングと異なり、「後戻り」することはなく、白さは永続的に持続します。
しかし、詰め物・被せ物を用いた治療となりますので、「歯を削る」必要があることがホワイトニング (薬剤を利用し歯を削りません) と異なる部分です。
当院では、患者様が抱えていらっしゃるお口のお悩みや疑問・不安などにお応えする機会を設けております。どんなことでも構いませんので、私たちにお話ししていただけたらと思います。ご興味がある方は下記からお問い合わせください。
